The following before and after photos are actual orthodontic cases treated by Dr. Holahan.
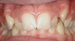
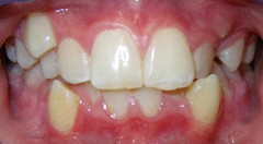
Severe Misalignment

Following Orthodontic Treatment

Moderate Misalignment


Following Invisalign® Treatment


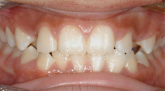
Severe Crowding and Misalignment

Following Orthodontic Treatment

Misalignment and Underbite

Treated with Braces and Upper Jaw Surgery

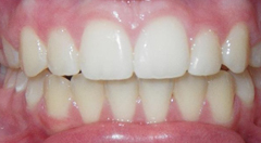
Adult with Misalignment

Following Orthodontic Treatment

Severe Misalignment

Following Orthodontic Treatment

Impacted Upper Canines

Following Orthodontic Treatment and Bringing the Canines Into the Arch

Adult with Misalignment

Following Invisalign® Treatment

Patient with Open Bite

Treated with Braces and Upper Jaw Surgery


















Website Powered by Sesame 24-7™